From Gum Disease to a Healthier Life: A Patient’s Journey to Better Oral and Overall Wellness
I Didn’t Know My Gums Were Telling Me Something About My Health
I’ll admit it—I hadn’t been to the dentist in years. Life got busy, and I didn’t think my teeth were a priority… until I finally made an appointment.
From the moment I sat in the chair, the dental team was kind and understanding. But after the exam, my dentist gently told me I had periodontal disease, also known as gum disease. I didn’t even realize it was that serious. My gums had been a little sore and bled sometimes when brushing, but I thought that was normal.
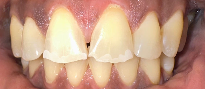
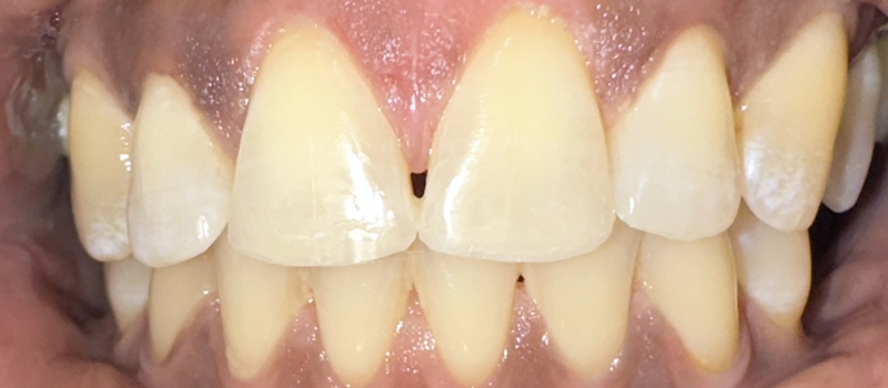
The doctor recommended a deep cleaning (scaling and root planing) to treat the infection below my gums. When they showed me before and after photos from my teeth, I was shocked! The difference was incredible—I couldn’t believe how much healthier the gums looked after treatment. It opened my eyes.
Then Dr. Abolhasani explained something I never knew: gum disease is closely linked to systemic conditions like diabetes, high blood pressure, and even heart disease. My untreated gum inflammation could actually make it harder to control my blood sugar—and vice versa. It suddenly all made sense.
Since getting the deep cleaning, my gums feel better, my breath is fresher, and I’m more motivated to keep up with both my dental and medical care. I feel like I got a fresh start—not just for my smile, but for my overall health.

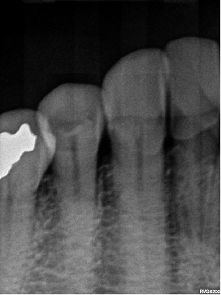
Before Treatment X-ray

Post-Treatment X-ray
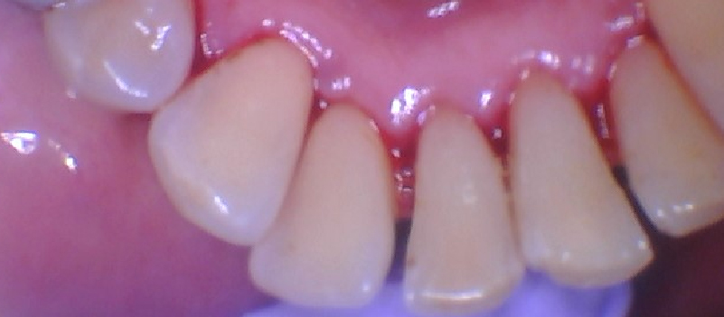
Before
After

